Noyan Health & Travel

    TRAITEMENTS

    Nous accordons de la valeur à votre santé avec les options de traitement les plus appropriées pour vous et vos proches. Commencez à bénéficier des services de santé de haute qualité avec le plan de voyage pour les meilleures opérations dans le domaine de traitement en Turquie. Nous rendons service dans les domaines suivants: les traitements dentaires, et plusieurs autres domaines de traitement. Veuillez nous contacter pour les offres de prix gratis.

      Noyan Health About Us Main Page
      À Notre Sujet

      Avec la société NOYAN SANTÉ & VOYAGE établie en 2021, nous avons comme objectif de faire continuer dans le Tourisme de Santé le succès que nous avons atteint dans le tourisme golfique. Dans ce contexte, nous continuons notre trajet avec une équipe qui peut parler de multiples langues pour transférer de 20 différents pays où nous sommes présents notre concept de service de qualité au Tourisme de Santé. Nous venons de prendre notre place avec la Licence Internationale dans le Secteur du Tourisme de Santé que nous avons obtenu du Ministère dans le domaine du Tourisme de Santé en Turquie sous le nom NOYAN SANTÉ & VOYAGE avec une large équipe expérimentée dans le secteur et nos données qui incluent un volume important de liens à l’étranger.

      SAFE TIURISM Ing 300X300
      Indir (1)
      Tursab Eps Vector Logo
      CLINIQUES

      Nous vous offrons un environnement de traitement sain et stérile avec nos hôpitaux, nos cliniques et nos médecins spécialistes dans toutes les locations que vous désirez en Turquie. Tous nos prestataires de santé contractuels disposent d’une Accréditation Internationale dans le Domaine de la Santé.

      CONCIERGERIE
      Votre Voyage de Traitement Avec Nous
      Concierge Hizmetleri | Noyan Health and Travel | Turkey Health Tourism | 6
      Proposition Gratuite de Prix
      Nos médecins et nos cliniques contractuels vous offrent un prix spécial défini pour vous au sujet de votre ma-ladie ou du service de santé que vous désirez recevoir.
      Concierge Hizmetleri | Noyan Health and Travel | Turkey Health Tourism | 3
      Billet d’Avion
      Du moment où vous avez pris la décision de recevoir un traitement en Turquie, notre équipe expérimentée peut vous donner des services de billetterie pour tous les vols dont vous aurez besoin pour votre traitement.
      Concierge Hizmetleri | Noyan Health and Travel | Turkey Health Tourism | 4
      Service de Transportation et de Transfert
      Nous vous offrons gratuitement les services de transportation entre l’aéroport- l’hôtel et entre la clinique- l’hôtel.
      Concierge Hizmetleri | Noyan Health and Travel | Turkey Health Tourism | 5
      Hébergement
      Nous sommes à côté de vous avec notre équipe expérimentée et dynamique pour vous offrir les options d’hébergement les plus appropriées. Nous offrons des options d’hébergement dans toutes sortes d’hôtels et d’hôtels-boutiques situées à l’intérieur ou à l’extérieur de la ville en considérant votre confort et vos besoins.
      Concierge Hizmetleri | Noyan Health and Travel | Turkey Health Tourism | 7
      Services de Traduction
      Nos guides vous rendent service gratuitement lors de vos contacts avec votre médecin et de vos procédures d’hébergement et de transfert tout au long de votre processus de traitement.
      Commentaires Des Cients

      • Eric Hemsworth

        Greffe de Cheveux

        J'ai été très satisfait des résultats. Tout le processus avec l'aide des professionnels s'est bien déroulé. Après le traitement, les choses vont très bien. J'ai vu des différences spectaculaires dans mes cheveux et le résultat a été incroyable. Noyan Health prend vraiment son travail au sérieux, vous pouvez compter sur eux pour saisir le moment et être prêt pour le résultat étonnant

         

      • Annette Valverde

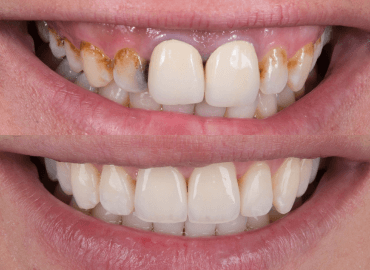
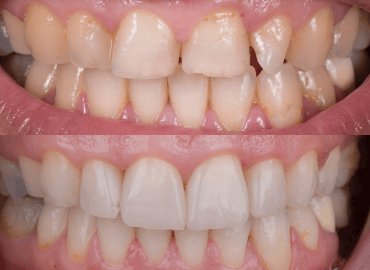
        Traitements Dentaires

        Je recommande vivement Noyan Health & Travel *****- Vous ne le regretterez pas ! J'avais plein de problèmes dentaires, j'ai souffert pendant longtemps et j'ai payé beaucoup d'argent pour un implant dentaire, malheureusement, je n'étais pas satisfait du traitement précédent et de l'ensemble du processus. En plus de l'importance des médecins et des cliniques, les agents de santé ont une grande part dans notre sentiment de sécurité. "L'équipe est absolument incroyable et je suis aux anges. Tout est parfait. Ils sont tellement efficaces et professionnels. C'est la première fois que je viens en Turquie et je ne pouvais pas imaginer un tel accueil. Je suis si heureuse de cette opération et du processus car ils me redonnent l'estime de moi-même. Quand je me lève, la première chose que je fais est de regarder dans le miroir ma belle dent. Merci pour tout. J'apprécie votre service. A la prochaine fois."

      • Kristen Cornwell

        Réduction Mammaire

        J'ai subi une réduction mammaire il y a deux mois et je dois dire que mon médecin a fait un travail formidable. Je ne pouvais pas imaginer de meilleurs résultats. C'est de mieux en mieux. J'ai l'impression d'avoir à nouveau 20 ans Que puis-je dire de plus ? Tout le monde est professionnel et surtout quand il s'agit de transfert, tout se passe bien. Je ne peux pas les remercier assez. Je recommande définitivement à ma famille et à mes amis.

        La plus grande plateforme de soins de santé au monde

        Dans 12 pays

        Leader

        Plus de 40

        Cliniques

        100000

        Réservation

        Plus de 500

        Médecin

        ghost-logo.png
        GALERİE
        Les cookies sont utilisés sur notre site Web pour améliorer l'expérience de navigation de nos visiteurs et pour fournir un meilleur service. Si vous refusez les cookies, vous pouvez limiter les applications avec lesquelles travailler sur notre site Web ou certaines fonctionnalités peuvent ne pas fonctionner comme vous le souhaitez. Pour plus d'informations sur notre politique en matière de cookies, veuillez cliquer ici.